به گزارش سافت گذر، پس از این برنامه مبتنی بر هوش مصنوعی BlueDot توانست شیوع ویروس کرونا را تأیید کند، حالا شرکت استارتاپی Infervision از شهر بیجینگ چین از این تکنولوژی بهره گرفته تا وجود این بیماری را در استان ووهان تشخیص دهد.

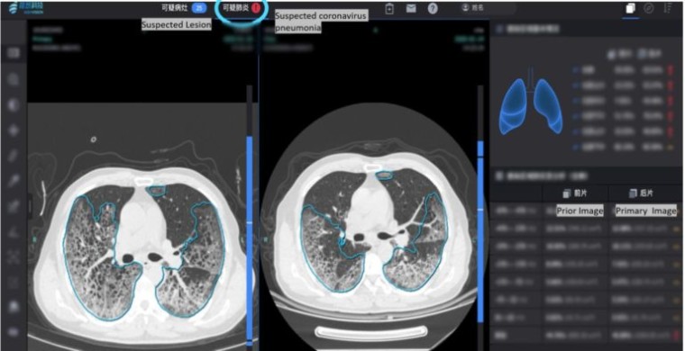
این نرم افزار مبتنی بر هوش مصنوعی که با همکاری بیمارستان تانگجی ووهان تولید شده، با مشاهده علائم تنگی نفس در بیماران، وجود ویروس کرونا در بدن آنها را تشخیص خواهد داد. علی رغم اینکه تیم تحقیقاتی پیش از این از هوش مصنوعی برای تشخیص تنگی نفس استفاده می کردند ولی پس از شیوع گسترده ویروس کرونا، به طور خاص سراغ این بیماری رفتند.
به منظور آموزش دادن به الگوریتم های هوش مصنوعی، بیش از 2000 عکس سیتی اسکن که از چینی های مبتلا به کرونا دریافت شده بود، با پردازنده گرافیکی NVIDIA V100 بررسی شدند. سپس برای پیشرفته تر کردن نرم افزار، Infervision از اپلیکیشن NVIDIA Clara که در زمینه ساخت تصاویر پزشکی با استفاده از هوش مصنوعی به کار می رود، بهره برد.

نرم افزار ساخته شده توسط Infervision تا کنون در بیش از 24 بیمارستان در سرتاسر چین استفاده شده و در حال حاضر در کشورهای اروپایی و ایالات متحده در حال آپدیت شدن است. تا به امروز، این برنامه کمک کرده تا پزشکان بیش از 32 هزار مشکوک به آلوده بودن به ویروس کرونا را شناسایی کنند.
یکی از مزیت های این نرم افزار آن است که به خاطر مراجعه زیاد بیماران به بیمارستان ها جهت تشخیص ویروس، به سرعت می تواند افراد دارای علائم را بشناسد. ضمناً، این برنامه می تواند با دریافت نمونه های مختلف از قفسه سینه افراد، داده های به دست آمده را مقایسه کند.
منبع: neowin.net